
ホワイトスポット専門外来
ホワイトスポット(歯の白い斑点/シミ)の治療

ホワイトスポットの治療

38,500円~

渋谷駅 3分

30分

同日実施可能
ホワイトスポット(歯の白い斑点/シミ)の治療
前歯の白い斑点、シミが気になる。
それはホワイトスポットです。
ホワイトスポットはアイコン治療で治すことができます

歯の白い斑点を治すことができます
ホワイトスポット(歯の白い斑点や白いシミ)にiCon(アイコン)という薬剤を塗布することで、歯を削らずにホワイトスポットを改善することが可能です。
従来までのホワイトスポットの治療法は、白い部分(白斑、白濁)を削ってプラスチックで詰めるか、ベニアと呼ばれる薄い板を歯に貼り付けるか、カルシウムを補う歯磨き粉を使用して、時間を掛けて自然治癒を待つなどの方法しかありませんでした。
アイコンは歯に薬剤を塗布するだけでホワイトスポット(歯の白い斑点や白いシミ)を改善することができます。渋谷東京矯正歯科では、ホワイトスポット専門外来があり、アイコン治療の対応が可能です。まずは当院までお気軽にご相談ください。

ホワイトスポットのアイコン治療の症例
Before

After

ホワイトスポット(白い斑点/シミ)
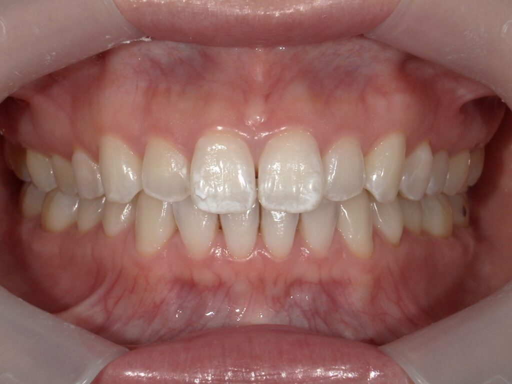
- 20代女性
- 主訴:前歯2本のホワイトスポットを改善したい
- 治療方法:ホワイトスポットのアイコン治療
- 治療期間:1日(30分)
- 治療回数:1回のみ
- 治療費:38,500円 ×2(2本分)
- リスク・副作用:ホワイトスポットの症状(深さや大きさ)により施術の効果には個人差があるため、1回の施術で大幅に改善されるケースと、複数回行うことで徐々に改善されていくケースがあります。
アイコンの薬剤は、時間の経過とともに徐々に効果が現れると言われています。こちらの症例写真は施術直後の写真です。すでに目に見える効果が現れていますが、時間の経過とともに約1ヶ月後にはさらなる変化も期待できるケースがあります。
Before

After

ホワイトスポット(白い斑点/シミ)
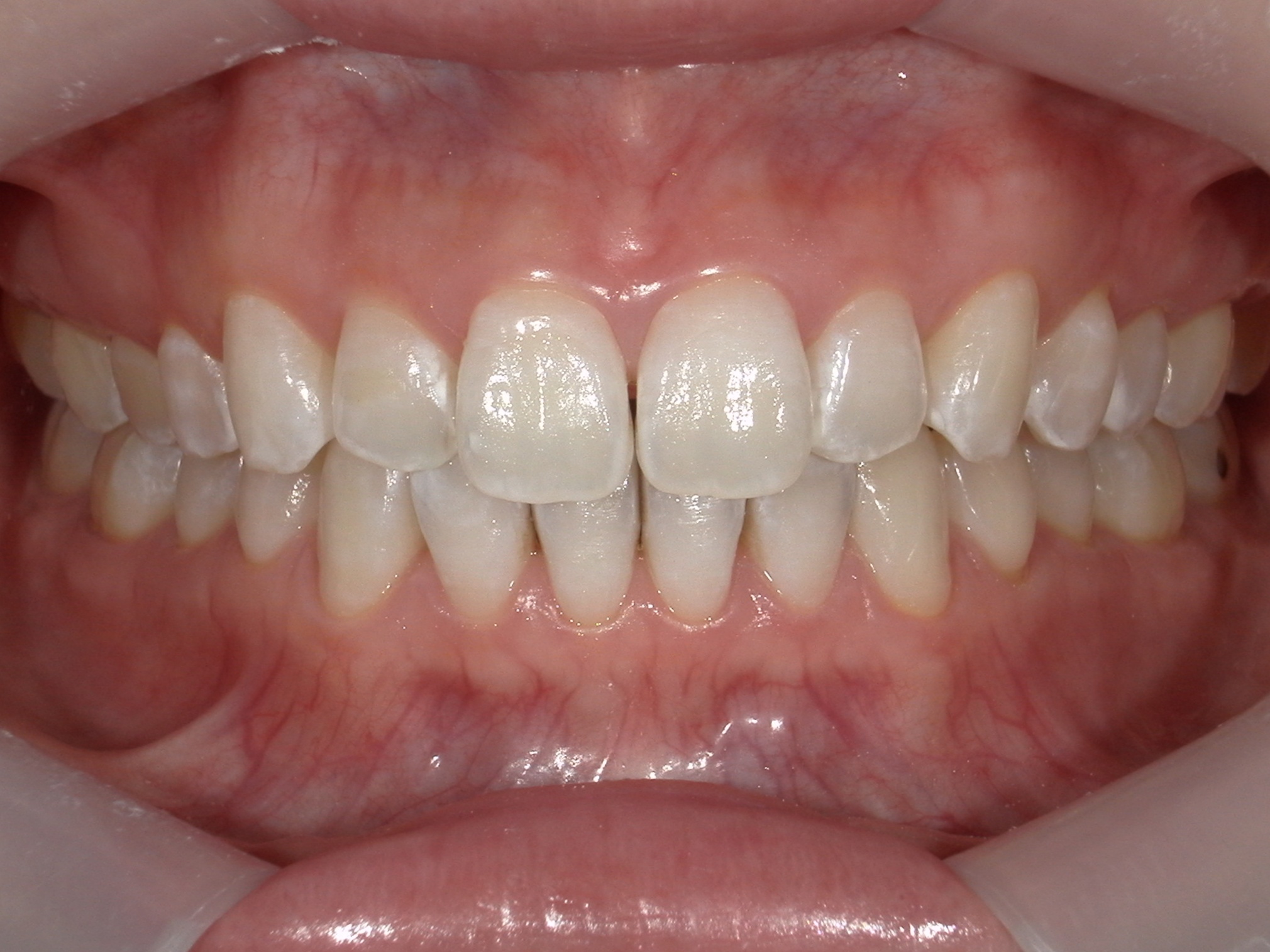
- 40代男性
- 主訴:前歯2本のホワイトスポットを改善したい
- 治療方法:ホワイトスポットのアイコン治療
- 治療期間:1日(30分)
- 治療回数:1回のみ
- 治療費:38,500円 ×2(2本分)
- リスク・副作用:ホワイトスポットの症状(深さや大きさ)により施術の効果には個人差があるため、1回の施術で大幅に改善されるケースと、複数回行うことで徐々に改善されていくケースがあります。
Before

After

ホワイトスポット(白い斑点/シミ)
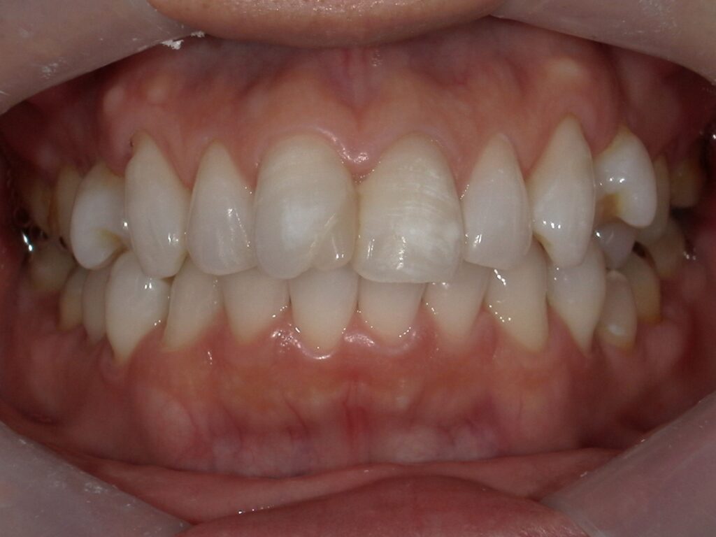
- 20代女性
- 主訴:右上の前歯のホワイトスポットを改善したい
- 治療方法:ホワイトスポットのアイコン治療
- 治療期間:1日(30分)
- 治療回数:1回のみ
- 治療費:38,500円
- リスク・副作用:ホワイトスポットの症状(深さや大きさ)により施術の効果には個人差があるため、1回の施術で大幅に改善されるケースと、複数回行うことで徐々に改善されていくケースがあります。
Before

After

ホワイトスポット(白い斑点/シミ)
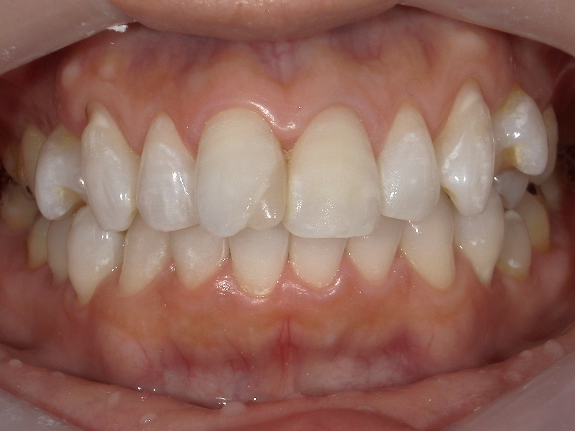
- 20代女性
- 主訴:前歯2本のホワイトスポットを改善したい
- 治療方法:ホワイトスポットのアイコン治療
- 治療期間:1日(30分)
- 治療回数:1回のみ
- 治療費:38,500円 ×2(2本分)
- リスク・副作用:ホワイトスポットの症状(深さや大きさ)により施術の効果には個人差があるため、1回の施術で大幅に改善されるケースと、複数回行うことで徐々に改善されていくケースがあります。
Before

After

ホワイトスポット(白い斑点/シミ)
- 40代女性
- 主訴:上の前歯2本のホワイトスポットを改善したい
- 治療方法:ホワイトスポットのアイコン治療
- 治療期間:1日(30分)
- 治療回数:1回のみ
- 治療費:38,500円 ×2(2本分)
- リスク・副作用:ホワイトスポットの症状(深さや大きさ)により施術の効果には個人差があるため、1回の施術で大幅に改善されるケースと、複数回行うことで徐々に改善されていくケースがあります。
Before

After

ホワイトスポット(白い斑点/シミ)
- 40代男性
- 主訴:右上の前歯1本のホワイトスポットを改善したい
- 治療方法:ホワイトスポットのアイコン治療
- 治療期間:1日(30分)
- 治療回数:1回のみ
- 治療費:38,500円
- リスク・副作用:ホワイトスポットの症状(深さや大きさ)により施術の効果には個人差があるため、1回の施術で大幅に改善されるケースと、複数回行うことで徐々に改善されていくケースがあります。

ホワイトスポットのアイコン治療って、1回の治療で全く変化しないこともあるのかな…。それが不安で治療に踏み切れない…。

渋谷東京矯正歯科のホワイトスポット治療の最大の特徴は、1回のアイコン治療で効果が出ることです。症状の深さにより個人差はありますが、全てのケースで治療した当日に改善の変化が見られています。

ホワイトスポットのアイコン治療って、何回かやらないと効果出ないのかな…。結局追加費用がかかるのかな…。

渋谷東京矯正歯科でホワイトスポット治療を受けられた方は、9割以上の方が1回の治療で改善が見られ、2回目を行っていないため追加費用もかかっておりません。もし2回目の治療を希望された場合でも、2回目の治療費を割引で対応しております。

ホワイトスポットのアイコン治療って、どこのクリニックでやっても効果は同じ?

効果はクリニックによって異なります。治療を複数回行う医院が多いですが、渋谷東京矯正歯科ではホワイトスポット専門外来があり、多くの症例経験があるため、1回の治療にこだわり極力2回目を必要としない満足レベルを目指しています。

ホワイトスポットのアイコン治療って、治療後どのくらいで効果が出るのかな….

渋谷東京矯正歯科のホワイトスポット治療では、治療直後(当日)に改善の変化が見られます。薬剤の特性上、一ヶ月ほどかけて馴染んでいくため、日が経つにつれ治療直後よりもさらに改善されていくケースもあります。

ホワイトスポットって生まれつき子どもの頃からある人は治らないよね…。

渋谷東京矯正歯科のホワイトスポット治療では、ホワイトスポットが生まれつきある方でも、最近できた方でも、改善の効果が見られていますのでご安心ください。



ホワイトスポットとは、歯の表面に見られる白い斑点(白いシミ)のことです。痛みはありませんが、笑ったときに目立つため、コンプレックスに感じている方もいらっしゃいます。このホワイトスポットは、歯医者に通っていても特に何も言われず、治してもくれません。これは、ホワイトスポットの原因が、治療が必要な病気として認められていないもののために、保険が適用されないからです。しかし、審美(見た目の改善)目的のため自由診療にはなりますが、渋谷東京矯正歯科では、ホワイトスポット専門外来を受け付けており、ホワイトスポットを治療することができます。初期う蝕によるホワイトスポットは、白斑病変、white spot lesions (WSLs)とも呼ばれます。

歯の表面に白い斑点がある、歯の色ムラが気になる…。

前歯に生まれつき白い部分がある、気付いたら白いシミができてた…。

矯正治療後にワイヤー装置を外したら白い跡が残った…。

ホワイトニング後に白いまだら模様が出てきた…。

こどもの歯に白い斑点ができた…。
ホワイトスポットに対して、ホワイトニングはほとんど効果が得られません。 また、元々ホワイトスポットがある人がホワイトニングを行うことで白いシミが目立つようになってしまうこともあります。
一方で、ホワイトスポットの治療であるアイコン治療を行う場合に限り、事前にホワイトニングを行うとアイコン治療の効果を得られやすくなり、ホワイトスポットの改善に有効です。ホワイトニングはホワイトスポットの症状にとってはプラスにもマイナスにも働きますので、まずは渋谷東京矯正歯科へご相談ください。
従来までのホワイトスポットの治療法は、白い部分(白斑、白濁)を削ってプラスチックで詰めるか、ベニアと呼ばれる薄い板を歯に貼り付けるか、カルシウムを補う歯磨き粉を使用して、時間を掛けて自然治癒を待つなどの方法しかありませんでした。
アイコン(icon)は歯に薬剤を塗布するだけで、歯を削ることなくホワイトスポット(歯の白い斑点や白いシミ)を改善することができます。

歯を削らないアイコン治療
従来までのホワイトスポットの治療法は、白い部分(白斑、白濁)を削ってプラスチックで詰めるか、ベニアと呼ばれる薄い板を歯に貼り付けるか、カルシウムを補う歯磨き粉(例:MIペーストPlus)を使用して、時間を掛けて自然治癒を待つなどの方法しかありませんでした。
しかし現在では、歯を削らずにホワイトスポットを治療する方法があるのです。それがアイコンを使用した方法です。
ホワイトスポットの部分のエナメル質の中には気泡が入ってしまっており、エナメル質と空気・水の間の光の屈折率の差から、光が散乱します。アイコン治療とは、この気泡の部分にエナメル質と近い屈折率を持ったアイコンの樹脂成分を浸透させることで屈折率を改善し、ホワイトスポットを目立たなくする治療法です。
アイコン治療の特徴
歯をほとんど削らない初期段階の虫歯にレジンをしみこませる治療法なので虫歯を削り取る必要はありません。
削らないため麻酔も必要なく痛みはありません。
当日に薬剤をしみこませるため、早ければ1回の治療で改善が見られます。
歯を強化する効果も液状のレジンをエナメル質に浸透させて治療をするためミネラルが溶け出すのを防ぎエナメル質の補強になります。

『アイコン』は、2022年欧米で様々なホワイトスポット治療の比較研究の結果、ホワイトスポットに対する治療として非常に効果的、及び患者さまから高い満足度が得られた薬剤になります。ホワイトスポットを目立たなくする上に、歯を自然な白さに持っていくことができる削らない治療法です。
元々は初期虫歯によるホワイトスポットに対して歯を削らずにレジンを浸透させることで歯を強化して、虫歯の進行を抑制するために開発されました。これまで削る前の段階の初期虫歯に対しては、フッ化物応用、食習慣の指導、ブラッシング指導による予防しか出来ず、それでも進行してしまった虫歯に対しては削って詰める(切削介入)治療を行っていました。
アイコンは、その間を埋める治療法として、より積極的な予防的治療として低粘性レジン浸潤法という手技を定着させました。さらに、ホワイトスポットの見た目も改善できることから、ホワイトスポットを削らずに治す方法として世界中で注目を集めています。

アイコン治療が適しているケース
アイコンは歯を削らずにホワイトスポットを治したい場合に最適です。またホワイトニングと組み合わせることで、より高い効果が期待できます。
いくつかのデメリットがあるとはいえ、痛みもなく自然な見た目に仕上がるアイコン治療は、ホワイトスポットが気になる方におすすめです。

アイコン治療の原理
低粘性レジン浸潤法、通称「アイコン」は、歯のホワイトスポットを効果的に治療する革新的な方法です。この治療法は、ドイツのDMG社が開発したもので、虫歯の初期段階であるホワイトスポットを歯を削らずに治療することを目的としています。アイコンの原理は、ホワイトスポット部分に低粘性のレジンを浸透させ、その部分をエナメル質の一部として補強することで、ホワイトスポットを目立たなくするというものです。 レジンは非常に低粘性であるため、歯の微細な空隙や脱灰部に深く浸透します。これにより、エナメル質の強度を高め、ホワイトスポットを物理的に補強します。また、レジンは透明度が高いため、自然な歯の色と調和し、審美的な改善も期待できます。
何故ホワイトスポットが他の色ではなく白く見えるかというと、実は飲み物に入れる「氷」が一番近い状態です。飲食店で提供されたり販売されたりしている氷には気泡や不純物が含まれないため透明ですが、家庭用の冷蔵庫で氷を作ると中央に白い粒が見えることがあると思います。ホワイトスポットもこれと非常に似た状態です。
健全なエナメル質は通常非常に透明度が高い組織ですが、ホワイトスポットの部分では虫歯また形成不全によりエナメル質の構造が壊れており、小さな気泡や不純物がエナメル質の中に入り込んでいます。ここで光が屈折し、白く見えるのです。

アイコン治療の流れ

渋谷東京矯正歯科では事前の無料カウンセリングを行っております。お悩みやご要望などをお聞かせください。また、歯科医師が患者様の口腔内を診査し、ホワイトスポットの状態を確認の上、ホワイトスポット治療について、内容やリスク、料金も含めて詳しくご説明いたしますので、ご納得いただけたら同日に治療が可能です。

所要時間は約30分ほどで終了します。痛みを伴う処置はありませんのでご安心ください。症状により効果の個人差はありますが、初回の治療で改善された場合は治療完了となります。

アイコンの薬剤の効果は、日数の経過とともに徐々に効果が現れると言われています。約1ヶ月後の変化を確認いただき、さらに変化を求められる場合は2回目のアイコン治療を実施します。(2回目以降のアイコン治療は患者さまが希望された場合に限り行います)

アイコン治療の処置の流れ

前処置用の薬剤を歯面に塗布したあと2分間待ちます。

水洗30秒以上水で洗い流し、エアーで乾燥させます。

乾燥歯面が乾いたら専用の薬剤を塗布し、さらに乾燥させるために30秒程度待ちます。

薬剤の塗布低粘度のレジンでできた薬剤を塗布し、白斑部分にしみこむまで3分程度待ちます。

特殊な光を40秒以上照射し、薬剤を硬化させます。

もう一度レジンでできた薬剤を塗布し、しみこむまで1分程度待ちます。

再度特殊な光を40秒以上照射し、薬剤をしっかり硬化させて治療終了です。
ホワイトスポット(歯の白い斑点、白いシミ)はアイコン治療で治すことができますが、ホワイトニングと併用することでさらに効果を得られやすくなります。併用する場合は、どちらを先に行うか実施する順番が重要になります。
ホワイトスポットはホワイトニングで治る?
ホワイトスポットがある人がホワイトニングをすると、ホワイトスポットの周りの歯質が白くなり、目立たなくなる場合もありますが、逆にホワイトスポットの部分のみが不自然な白さに見えてしまう場合もあります。
ホワイトニングではホワイトスポットが改善されないのは、ホワイトニングの原理が歯全体の色を明るくするものであり、部分的に脱灰したホワイトスポットの色を均一にするわけではないからです。ホワイトニング剤には過酸化物が含まれており、歯の表面を漂白して黄ばみや汚れを取り除く働きをしますが、これは歯全体の色素に作用するため、ホワイトスポットがある場合、その部分だけがより明るくなり、むしろ目立ってしまうことがあります。
ホワイトスポットは、エナメル質のミネラルが不足して起こる脱灰の結果、エナメル質が正常な透明感を失い、不透明に白く見えるものです。ホワイトニングで脱灰したエナメル質に直接作用することはなく、むしろその周りの健康なエナメル質がさらに白くなるため、ホワイトスポットが際立つことが多いのです。
ホワイトスポット治療後にホワイトニングをすることは有効?
ホワイトスポット治療(アイコン治療)後は、ホワイトニングの薬剤が浸透しにくくなるため、ホワイトニングを実施しても効果は出ません。
ホワイトニングはホワイトスポット治療前に行いましょう
ホワイトスポット治療(アイコン治療)だけでも改善はできますが、白い斑点の状態によっては、アイコン治療の前にホワイトニングを実施することで、ホワイトスポットの改善が得られやすいことが確認されています。ホワイトニングを行っておくことで歯の色素分子を事前に分解させます。オパールエッセンスGoなら、ご自宅でホワイトニングか可能です。ホワイトニングとアイコン治療を組み合わせることで、より均一な仕上がりが期待できます。
ホワイトスポットは改善しません。さらに目立ってしまうリスクがあります。
アイコン治療後はホワイトニングの薬剤が浸透されにくくなるため効果が得られません。
アイコン治療でホワイトスポットが改善されます。
アイコン治療を実施する前にホワイトニングをすることで、最大限の改善が期待できます。

(オパールエッセンスgo)
ホワイトスポット治療(アイコン治療)治療の前にホワイトニングを実施することで、アイコン治療の効果を得られやすいことが確認されています。ホワイトニングを行っておくことで歯の色素分子を事前に分解させます。オパールエッセンスGoなら、ご自宅でホワイトニングか可能です。

自宅でホワイトニングを行った上で、当院にてホワイトスポット治療(アイコン治療)を実施します。ホワイトニングとアイコン治療を組み合わせることで、より均一な仕上がりが期待できます。

ホワイトスポットはアイコン治療で改善できます。1回の治療で改善されるケースや数回の治療で改善されるケースがありますが、ホワイトスポットの大きさや深さなどの状態によっては、ホワイトニングとアイコン治療を組み合わせることで、より均一な仕上がりが期待できます。


ホワイトスポット治療(アイコン治療)後にホワイトニングを行うと、歯にホワイトニングの薬剤が浸透しにくくなるためホワイトニングの効果が出ません。

ホワイトニングではホワイトスポットが改善されません。ホワイトニングの原理が歯全体の色を明るくするものであり、部分的に脱灰したホワイトスポットの色を均一にするわけではないからです。ホワイトニング剤には過酸化物が含まれており、歯の表面を漂白して黄ばみや汚れを取り除く働きをしますが、これは歯全体の色素に作用するため、ホワイトスポットがある場合、その部分だけがより明るくなり、むしろ目立ってしまうことがあります。

(ホームホワイトニング)
¥16,500

(ホワイトスポット治療)
¥38,500 (1歯)
※アイコン治療は事前にホワイトニングを行うと効果が得られやすいとされています。
※アイコン治療のみも対応しております。
※初診料、相談料、検査費など、その他の費用はかかりません。

ホワイトスポットの原因
虫歯が原因のホワイトスポット
1つ目は「初期虫歯」です。むし歯といえば黒い穴のようなものを想像しますが、実はその始まりが白い斑点である場合があります。
歯の表面からミネラル分が溶けだす「脱灰(だっかい)」という状態になると、歯は光沢を失って白くにごり始めます。これが初期のむし歯になり、徐々に穴が空いて黒くなっていきます。しかし脱灰を起こしたからといって必ずむし歯が進行するわけではありません。脱灰は再石灰化という歯の自浄作用のようなもので、むし歯の進行を抑制する働きの一部分でもあります。初期う蝕(初期虫歯)によるホワイトスポット の特徴は「表層下脱灰」と言われる現象です。虫歯菌が作り出す酸によって歯のリンやカルシウムが溶け出すことを脱灰といいます。これが虫歯の始まりですが、初期の虫歯では脱灰は生じていてもまだ穴はあいていません。歯の表面は溶けないで内部から溶けていくのです。この状態が「表層下脱灰」です。表層下脱灰が生じている部分は、脱灰によって細かい空洞がたくさんできていて軽石のようになっています。この部分に光が当たると健全な部分とは光の屈折率や透過性が違うので白く見えるのです。
エナメル質形成不全によるホワイトスポット
「エナメル質形成不全症」と言われるものです。これは主に遺伝や生まれつきの病気・幼少期に発熱や栄養障害によって歯の表面の「エナメル質」が正常に形成されない病気のために出来るもので、白い斑点(ホワイトスポット)もしくは茶色の斑点(ブラウンスポット)と呼ばれたりします。
エナメル質形成不全症とは

歯のエナメル質が顎(あご)の骨の中で作られている時に、なんらかの原因により、エナメル質の一部が不完全のままになり、白い(あるいは茶色の)斑点や模様ができ、そのまま生えて来たというものです。原因としては、外傷(けが)、病気や薬の影響、栄養障害など様々な環境下で起こりえますので特定することは難しいです。基本的に病気というわけではなく悪いものではないので、そのままにしていても問題はありません。ただし、前歯の目立つところにあると審美的に気になる方もいらっしゃると思います。そこで解決策となる治療法がホワイトスポット治療です。
エナメル質形成不全の場合、初期のむし歯と違って、再石灰化による治癒は期待出来ません。そのため、エナメル質形成不全によるホワイトスポットで悩まれておられる方は、長期間その悩みを抱えておられる方も少なくありません。
乳歯に外傷や感染が起こるとその下に待機している永久歯に影響を与え、ホワイトスポットが生じることがあります。また、生まれて間もない頃にかかった病気や栄養障害、遺伝などが原因で歯の表面のエナメル質が正しく作られなかったことにより、その部分がホワイトスポット になることがあります。これらはすべて「エナメル質形成不全」と呼ばれます。
エナメル質形成不全は虫歯ではありませんので脱灰は生じていません。エナメル質が正しく作られなかったためにその部分だけ結晶構造が乱れ、健全な部分とは光の屈折率や透過性が違うので白く見えるのです。
フッ素の過剰摂取によるホワイトスポット
生後6ヶ月から5歳くらいまでの歯の発生期に過剰のフッ素を摂取すると歯の表面に白や茶色の斑点ができることがあります。これは歯牙フッ素症(斑状歯)と呼ばれるものですが、水道水のフッ素化が行われていない日本では、ほとんど生じることはありません。なお、歯牙フッ素症はフッ素を飲み込むことにより生じるもので、フッ素塗布では生じません。フッ素は歯の健康を保つために重要な成分ですが、過剰に摂取するとホワイトスポットが発生することがあります。これは特に歯が形成される幼少期に過剰なフッ素を摂取すると、歯のエナメル質に白い斑点(フルオローシス)が現れることがあるためです。フッ素入りの歯磨き粉や飲料水に含まれるフッ素量を適切に管理することが重要です。
ホワイトニングによるホワイトスポット
歯は部分によって組織の微妙なムラがあり、ホワイトニングの効果が出やすい部分と出にくい部分があることがあります。効果の出やすい部分は一時的に歯のミネラルが溶け出して表面がすりガラスのようになる事によって白くみえます。しかし、2~3日ほどで唾液がミネラルを吸収し再石灰化が進み徐々に色が落ち着き目立たなくなるケースがほとんどです。また、元々ホワイトスポットがある人がホワイトニングを行うことで目立つようになってしまうこともあります。
栄養不足、遺伝によるホワイトスポット
エナメル質を作るための栄養素(カルシウムやリン)が不足すると歯に影響が出てきます。胎児が母体にいる時から歯のエナメル質は作られるので、妊娠している時にしっかり栄養を取らないことで赤ちゃんの歯がホワイトスポットになってしまいます。
遺伝によって歯の形成障害を持っている方にもホワイトスポットが遺伝で継承されてしまうことがあります。遺伝的な要因では、エナメル質が形成される過程での異常が挙げられます。また、発育途中の栄養不足や病気もエナメル質の形成不全を引き起こし、ホワイトスポットの原因となることがあります。
外傷によるホワイトスポット
歯の受けた外傷により一時的に歯にクラック(ヒビ)が入ります。このクラックを中心に歯の結晶構造が変わり、白濁したホワイトスポットが現れることがあります。外傷に関しては、乳歯の時期に歯に強い衝撃を受けると、その下に控える永久歯に影響を与え、ホワイトスポットが生じることがあります。
不十分な口腔衛生によるホワイトスポット
歯磨きが不十分であったり、適切な口腔ケアが行われていない場合、プラーク(歯垢)が歯の表面に蓄積しやすくなります。プラーク中の細菌が酸を生成し、この酸がエナメル質を侵すことで脱灰が進行します。この状態が続くと、ホワイトスポットとして白い斑点が現れます。特に食後のケアを怠ることが多い子どもや、口腔衛生の習慣が身についていない方に多く見られます。
アイコン治療

これはホワイトスポットを含めた歯の表面全体に浸透性の高い樹脂を浸み込ませる現在最もホットな治療法です。ドイツのDMG社が20年以上の歳月をかけて開発した「アイコン」という製品を使用します。歯を削るような処置は一切することなく、歯の内部に浸透しやすい特殊な樹脂を浸み込ませてホワイトスポット内部を均質な状態にします。歯全体に樹脂が浸透した状態になりますので、虫歯になりにくくなるという効果もあります。このコーティングにより歯からミネラルが溶け出すのを防ぎ、エナメル質も補強されます。完全にホワイトスポットが消えないこともありますが、歯をほとんど削らず、かなり目立たなくなることもあり、当院でも治療後に喜ばれることも多い治療です。当院では独自のテクニックにより、エナメル質形成不全歯にも対応しています。
ダイレクトボンディング


ダイレクトボンディングという治療法です。ホワイトスポットの部分を削ってその部分に白い詰め物(審美用のレジン)をします。歯科医師の技量にもよりますが、技術のある歯科医師であれば自分の歯との境目がわからないぐらいの精度の治療が可能です。最も一般的な治療法ですが、歯を削る必要があります。詰めた部分を目立たなくするためにホワイトスポットの周囲の歯も削ることがあります。詰めた材料はレジンという材料の特性上、着色や脱離(取れてしまうこと)は避けられません。経年的に着色や変色、摩耗が生じますので、何年かに一度やり替える必要があります。数年後にやり変えが必要になることもありますが、短期間で治療できることから、結婚式などのイベントに向けて治療され、喜ばれることの多い治療です。
ラミネートベニア

ラミネートベニアは、歯を薄く削り付け爪のように薄いセラミックを歯に貼り付ける方法です。これには、ポーセレンラミネートベニアとダイレクトベニアがあります。仕上がりはきれいですが、歯の表面を薄く削る必要があります。セラミックという材質の特性上汚れや歯垢がつきにくい(着かないわけではありません)というメリットもあります。ホワイトスポットの範囲が広い場合などではこちらが適していることもあります。
フッ素やMIペーストの使用

ミネラル(カルシウム、リン)を多く含んだ口腔ケア製品です。ミネラルが歯の再石灰化を促し、ホワイトスポットを薄くしてくれることがあります。ただし、万能ではなく効果が見られないことも多々あります。初期の虫歯は歯磨きの不良が大きな原因です。まずは正しい歯磨きを行い、食生活を改善することが最も大切です。そのうえで、フッ素やMIペーストのようなケア製品を使用すると、溶け出したリンやカルシウムが再び沈着します。この現象を再石灰化といいます。再石灰化により、初期の虫歯はほぼ健全な歯質に戻りますが、ホワイトスポット まで改善することは稀です。審美的に改善するためにはさらに踏み込んだ治療が必要となります。
| ほかの治療法の場合 | Icon(アイコン)の場合 | |
|---|---|---|
| ホワイトニング | ホワイトスポットが小さい場合に、歯自体を白くして、色の差をできるだけ目立たないように処置を行います。 | ホワイトニングでは、逆にホワイトスポットが目立つ可能性があります。Icon(アイコン)は、ホワイトスポットをきれいに改善できます。 |
| ティースマニキュア | 歯にマニキュアを塗って白濁を隠します。時間の経過とともにはがれるので、長持ちはしません。 | Icon(アイコン)は、ホワイトスポットを一時的に隠す方法ではなく、根本からの改善をめざします。 |
| コンポジットレジン | ホワイトスポットの部分の歯を削り、歯科用プラスチックである「コンポジットレジン」で貼り付けます。 | 歯を削らずにホワイトスポットが改善できます。歯の寿命を縮めることのない治療です。 |
| ラミネートべニア | 歯の表面を全体的に削り、セラミック製の白い板のようなものを貼り付けます。きれいに仕上げることができます。 | 歯を削らずにホワイトスポットが改善できます。歯の寿命を縮めることなく、きれいな状態が実現できます。 |
| MIペースト | カルシウムやリンなどの歯を形成するための成分である「ミネラル」が含まれたMIペーストを塗ります。効果があらわれるまで時間がかかります。 | 治療は1日で終わることがほとんどです。時間も30分~1時間ほどで終わります。(症状によっては1日で終わらない場合があります) |
アイコン治療

歯を削らないホワイトスポット治療
ホワイトスポットを含めた歯の表面全体に浸透性の高い樹脂を浸み込ませる現在最もホットな治療法です。ドイツのDMG社が20年以上の歳月をかけて開発した「アイコン」という製品を使用します。歯を削るような処置は一切することなく、歯の内部に浸透しやすい特殊な樹脂を浸み込ませてホワイトスポット内部を均質な状態にします。歯全体に樹脂が浸透した状態になりますので、虫歯になりにくくなるという効果もあります。このコーティングにより歯からミネラルが溶け出すのを防ぎ、エナメル質も補強されます。完全にホワイトスポットが消えないこともありますが、歯をほとんど削らず、かなり目立たなくなることもあり、当院でも治療後に喜ばれることも多い治療です。当院では独自のテクニックにより、エナメル質形成不全歯にも対応しています。
ダイレクトボンディング


本物の歯のように形作るホワイトスポット治療
ダイレクトボンディングという治療法です。ホワイトスポットの部分を削ってその部分に白い詰め物(審美用のレジン)をします。歯科医師の技量にもよりますが、技術のある歯科医師であれば自分の歯との境目がわからないぐらいの精度の治療が可能です。最も一般的な治療法ですが、歯を削る必要があります。詰めた部分を目立たなくするためにホワイトスポットの周囲の歯も削ることがあります。詰めた材料はレジンという材料の特性上、着色や脱離(取れてしまうこと)は避けられません。経年的に着色や変色、摩耗が生じますので、何年かに一度やり替える必要があります。数年後にやり変えが必要になることもありますが、短期間で治療できることから、結婚式などのイベントに向けて治療され、喜ばれることの多い治療です。
ラミネートベニア

歯に被せるホワイトスポット治療
ラミネートベニアは、歯を薄く削り付け爪のように薄いセラミックを歯に貼り付ける方法です。これには、ポーセレンラミネートベニアとダイレクトベニアがあります。仕上がりはきれいですが、歯の表面を薄く削る必要があります。セラミックという材質の特性上汚れや歯垢がつきにくい(着かないわけではありません)というメリットもあります。ホワイトスポットの範囲が広い場合などではこちらが適していることもあります。
アイコン治療

薬剤を塗るだけのアイコン治療
薬剤を塗布するだけでホワイトスポットを改善します。唯一アイコン治療のみが歯を削らずに改善できる方法となります。
ダイレクトボンディング


ダイレクトボンディング
ダイレクトボンディングは、ホワイトスポットの部分を削ってその部分に白い詰め物(審美用のレジン)をします。その際に歯を削る必要があります。
ラミネートベニア

歯に被せるラミネートベニア
ラミネートベニアは、歯を薄く削り付け爪のように薄いセラミックを歯に貼り付ける方法です。歯の表面を薄く削る必要があります。
アイコン治療

アイコン治療
ホワイトスポットの症状が浅い場合は、1回の治療で改善が見られます。
アイコン治療

アイコン治療(複数回)
ホワイトスポットの症状が深い場合は、初回のアイコン治療から約1ヶ月後に2回目のアイコン治療を行うことでさらに改善されていきます。ご希望に応じて3回目を行うこともできます。
ダイレクトボンディング


ダイレクトボンディング
アイコン治療以外では、ダイレクトボンディングで歯を形作ることができますが、処置の過程で歯を削る必要が生じます。
ラミネートベニア

歯に被せるラミネートベニア
範囲が広く、歯の大部分に及んでいる場合は、ベニアで被せる方法が最短になるケースがあります。
ホワイトスポットの深さ
1回の治療で改善できます。
初回のアイコン治療から約1ヶ月後に2回目のアイコン治療を行うことでさらに改善されていきます。ご希望に応じて3回目を行うこともできます。
アイコン治療以外では、ダイレクトボンディングで歯を形作ることができますが、処置の過程で歯を削る必要が生じます。
範囲が広く、歯の大部分に及んでいる場合は、ベニアで被せる方法が最短になるケースがあります。
歯を削る方法と削らない方法
薬剤の塗布だけで改善できます。
歯を削って処置します。
歯を削って処置します。
- 歯に白い斑点があるのは何ですか?
-
歯の色が通常よりも白くなっている部分を「白斑(はくはん)」といいます。 歯の白いしみ、歯の白濁、ホワイトスポットといわれることもあります。 白斑には初期虫歯が原因のもの、生まれつきや乳歯外傷の影響を受けた永久歯など、虫歯以外が原因のものがあります。 初期虫歯が原因の白斑は、表面がザラザラで、光沢がない傾向にあります。
- ホワイトスポットとは何ですか?
-
ホワイトスポットという歯の表面にできる白い斑点模様の病気です。 そもそも、ホワイトスポットができる原因としては主に「初期虫歯」と「エナメル質形成不全(エナメル質の構造が正常につくれなかった)」の2つが考えられます。
- ホワイトスポットは自然に消えますか?
-
ホワイトスポットは、歯の結晶構造に変化が起きているため自然に治ることはありません。
- ホワイトスポットは歯磨き粉で治りますか?
-
ホワイトスポットはエナメル質の0.2~0.8mmに及ぶ結晶構造の変化のため、歯磨き粉で消失することはありません。
- 歯にホワイトスポットができる原因は何ですか?
-
表層下脱灰が生じている部分は、脱灰によって細かい空洞がたくさんできていて軽石のようになっています。 この部分に光が当たると健全な部分とは光の屈折率や透過性が違うので白く見えるのです。 乳歯に外傷や感染が起こるとその下に待機している永久歯に影響を与え、ホワイトスポットが生じることがあります。
- ホワイトスポットを放置するとどうなりますか?
-
ホワイトスポットは虫歯のごく初期の段階やエナメル質の形成不全などから生じますが、虫歯に起因する場合、虫歯予備軍の状態である可能性があります。 そのままにしておくと、大きな虫歯になってしまうこともあるから注意が必要です。
- ホワイトスポットはホワイトニングで治りますか?
-
ホワイトスポットをなくそうと、ホワイトニングをする方がいますが、ホワイトスポットに対して、ホワイトニングはほとんど効果が得られません。 また、元々ホワイトスポットがある人がホワイトニングを行うことで目立つようになってしまうこともあります。
- ホワイトスポットは痛みますか?
-
ホワイトスポットは歯の表面が白くなっている部分はエナメル質が脱灰(だっかい)されており、やわらかくなっています。 歯に穴は開いておらず、痛みやしみる感覚もありません。
- ホワイトスポットは何日で治りますか?
-
ホワイトスポットの深さにもよりますが、ホワイトスポットが表層面にある方は1回の処置で効果が現れます。歯の内部にある方は、数回の処置で効果が徐々に現れます。効果が出ない場合はホワイトスポットが深いケースが考えられるため、別の治療方法を検討することもあります。
- ホワイトスポットは保険適用になりますか?
-
ホワイトスポットは、虫歯ではありません。 そのため、虫歯や歯周病など、疾患に対する治療に適用される健康保険は適用外となります。
- ホワイトスポットの治療費は?
-
アイコンを用いたホワイトスポット治療は、1歯につき、1回¥38,500です。
- ホワイトスポットの治療は年齢制限はありますか?
-
決まった年齢制限はありません。ラバーダム防湿法というゴムのシートで歯を露出させる手法が必要であることと、長時間の治療になることから、前歯がある程度生えていて、治療時間にも耐えられる必要があります。以上から、患者さんによりますが小学校中学年程度から適応になってきます。
- ホワイトスポットの治療は妊娠中でもできますか?
-
妊娠中の方には安全性が確立されておらず、また緊急性が低いため原則的に禁忌となっております。
- ホワイトスポットの治療は痛みを感じますか?
-
アイコンの材料そのものでは痛みは感じません。
- ホワイトスポットの処置時間はどのくらいですか?
-
1回30分程度です。
- ホワイトスポットの治療が受けられないケースはありますか?
-
重度の形成不全や、既にホワイトスポットの一部が削ってありコンポジットレジン充填されている場合は適応になりません。

スクランブル交差点を斜め右前方(TSUTAYAの右手)へ。タワーレコードまで直進します。

タワーレコードの交差点に着くと前方にニトリが見えます。ニトリ沿いの歩道に信号を渡ってください。

信号を渡って3軒目のビル1階に「オオギ薬局」があります。このビルの3階にございます。






B1出口 徒歩3分
ハチ公口 徒歩5分
夜19:30時まで診療しているので、お仕事帰りや学校帰りもご予約いただけます。
また、土曜も診療しているので、渋谷へお出かけのついでにも気軽に立ち寄れます。

渋谷駅ハチ公口がおすすめです。
(ハチ公口からタワーレコード方面へ一直線。曲がらず大通り沿いにあります)

渋谷駅B1出口がおすすめです。
(改札からB1出口まで地下を通ったままお越しいただけます)

雨の日や、暑い日、寒い日は、MIYASHITA PARK(宮下パーク)を通ると快適でおすすめです。

渋谷東京矯正歯科
〒150-0041 東京都渋谷区神南1-12-16 和光ビル3階
診療時間
水・木・金 10:30~19:30 / 土 9:30~18:30
詳しいアクセスはこちら
- 歯に白い点(ホワイトスポット)
-
歯に白い点(ホワイトスポット)
歯の白い点(ホワイトスポット)とは
歯の白い点(ホワイトスポット)は歯の白濁ともいい、歯のエナメル質に現れる白くて不透明な斑点や変色部分のことを指します。これらの白い斑点は、エナメル質のミネラルが何らかの理由で不足し、透明感が失われた状態で、虫歯の初期段階やエナメル質の発達異常の一環として見られることも多いです。通常の歯はエナメル質が透明に近く、光を反射して滑らかに見えるため、ホワイトスポットや白濁は他の部分と比べて目立ちやすく、特に前歯などの目に見える場所に現れると見た目的な問題にもなりがちです。
虫歯は、ストレプトコッカス・ミュータンスに代表されるさまざまな虫歯菌が作り出す乳酸によって歯が溶かされていく病気です。歯の最も外側の部分は、半透明のエナメル質でできています。エナメル質は、体の中で最も硬い組織なのですが、乳酸には弱く溶かされてしまいます。こうして虫歯が進みます。エナメル質が溶かされ始めると、まずエナメル質の結晶成分が壊され、表面が荒れます。この状態を脱灰と言います。脱灰されると、半透明のエナメル質がすりガラスのようになり、透明感が失われ、濃い白い模様になってしまうというわけです。
歯に白い点(ホワイトスポット)が現れやすい人
歯に白い点(ホワイトスポット)が現れやすいのは、以下のような特徴や生活習慣を持つ人たちです。
- 矯正治療を受けている人:ワイヤーなどの矯正装置をつけると、ブラケットやワイヤーの周りにプラークがたまりやすくなります。これにより歯の表面が脱灰しやすくなり、歯に白い点(ホワイトスポット)が発生するリスクが高まります。矯正中は歯磨きが難しくなるため、特に念入りなケアが必要です。
- 甘いものや酸性の飲食物をよく摂取する人:砂糖や酸性の食べ物は、口腔内の細菌を活性化させ酸を生成します。この酸がエナメル質のミネラルを溶かす原因となり、脱灰が進むことで歯に白い点(ホワイトスポット)が現れることが増えます。
- 不十分な口腔ケア習慣のある人:ブラッシングやフロスを怠るとプラークがたまりやすくなり、歯の表面に脱灰が起こりやすくなります。特に、磨き残しがあると部分的に白斑ができやすくなります。
- 唾液の分泌が少ない人:唾液には歯の再石灰化を促進する働きがあり、口の中を中性に保ち酸の影響を和らげる役割があります。ドライマウスの人や唾液分泌が少ない人は、脱灰の進行が早まり歯に白い点(ホワイトスポット)ができやすくなります。
- フッ素を過剰に摂取した幼少期の人:過剰なフッ素摂取は「フッ素症」と呼ばれる状態を引き起こし、エナメル質に白い斑点や筋模様が現れることがあります。特に歯の発育中(0〜8歳頃)に過剰なフッ素にさらされると、永久歯に白い点(ホワイトスポット)が残ることがあります。
ホワイトスポットは、見た目の問題だけでなく、進行すると虫歯の原因にもなり得るため、早めの予防とケアが重要です。
歯の白い点(ホワイトスポット)の治療
どのような治療があるのか
歯の白い点(ホワイトスポット)の治療にはいくつかのアプローチがあり、状態の進行度やニーズに合わせて担当医と相談し決めていくことが多いです。ホワイトスポットは歯のエナメル質のミネラルが不足して脱灰した状態が原因であるため、まずは再石灰化を促す治療が基本となります。
最も一般的な治療法のひとつは、フッ素塗布です。フッ素はエナメル質の強化を助け、ミネラルを補うことで再石灰化を促進します。定期的にフッ素を塗布することで、ホワイトスポットが進行するのを抑え、目立ちにくくする効果が期待されます。また、自宅でのフッ素入り歯磨き粉の使用も効果的です。
次に、アイコン治療という方法があります。この治療法では、ホワイトスポットの部分に専用のレジンを塗布し、エナメル質の隙間にレジンが浸透することで透明感を取り戻します。アイコン治療は痛みがなく、歯を削らずに施術できるため、初期のホワイトスポットには効果的です。
場合によっては、ミネラルパックなどの専用ジェルやトリートメントも使用されます。これは、カルシウムやリン酸などのミネラル成分を歯に直接塗布し、エナメル質の再石灰化をサポートするもので、定期的に行うことで白斑の改善が期待できます。
当院の代表的な治療「アイコン治療」
アイコン治療は、初期段階のホワイトスポットや軽度の虫歯に効果的な新しい治療法で、エナメル質を削らずに行えるのが大きな特徴です。従来のホワイトスポット治療は、歯の表面を削ることが多く、歯に多少のダメージを与えることがありました。しかし、アイコン治療は歯を傷つけることなく、自然な見た目を回復することができます。
この治療法は、ホワイトスポットの部分に特殊なレジンを塗布し、それを浸透させることでエナメル質の空隙を埋め、光の反射を調整する仕組みです。アイコン治療では、まずエッチング剤(酸性のジェル)を歯に塗り、エナメル質の表面をわずかに処理します。この処理によって、レジンがホワイトスポットの隙間にしっかりと浸透しやすくなります。次に、アイコンレジンを塗布し、光を当てて硬化させることで歯の表面に定着させます。これにより、ホワイトスポットが透明に近い状態になり、自然な見た目を取り戻します。
アイコン治療の魅力は、治療が短時間で終わり、痛みや麻酔も不要である点です。また、歯を削る必要がないため、エナメル質へのダメージが最小限に抑えられ、長期的に見ても歯に優しい治療法とされています。このため、虫歯のリスクが低く、最近当院では患者様に高い人気があります。
ホワイトニングとホワイトスポット
ホワイトニングではホワイトスポットは改善されない
ホワイトニングではホワイトスポットが改善されないのは、ホワイトニングの原理が歯全体の色を明るくするものであり、部分的に脱灰したホワイトスポットの色を均一にするわけではないからです。ホワイトニング剤には過酸化物が含まれており、歯の表面を漂白して黄ばみや汚れを取り除く働きをしますが、これは歯全体の色素に作用するため、ホワイトスポットがある場合、その部分だけがより明るくなり、むしろ目立ってしまうことがあります。
ホワイトスポットは、エナメル質のミネラルが不足して起こる脱灰の結果、エナメル質が正常な透明感を失い、不透明に白く見えるものです。ホワイトニングで脱灰したエナメル質に直接作用することはなく、むしろその周りの健康なエナメル質がさらに白くなるため、ホワイトスポットが際立つことが多いのです。
ホワイトスポットの予防
ホワイトスポットをできないようにするには
ホワイトスポットを予防するためには、歯の脱灰を防ぎ、エナメル質を健康な状態に保つことが重要です。日常のケアや生活習慣の改善を通じて、ホワイトスポットの発生リスクを減らすことができます。
まず、毎日の丁寧なブラッシングとフロッシングが基本です。特に矯正治療中や歯並びが複雑な場合、プラークがたまりやすくなります。歯磨き後にフロスや歯間ブラシも使用して、歯の表面や隙間の汚れをしっかり取り除くことで、脱灰の進行を抑えることができます。また、フッ素入りの歯磨き粉を使用すると、エナメル質を強化し、再石灰化を促進する効果が得られます。フッ素はミネラルを補給し、ホワイトスポットが発生しにくい環境を作るために有効です。当院ではご自宅で行えるミネラルパックも販売中です。
次に、食生活の改善も重要です。砂糖を多く含むお菓子や飲み物、酸性の高いジュースや炭酸飲料は、口腔内で酸を発生させ、歯の脱灰を引き起こしやすくします。甘いものや酸性の飲食物はできるだけ控え、食べる場合には食後のすぐのうがいや水でのすすぎが有効です。さらに、カルシウムやリン酸などを含む乳製品や葉物野菜を意識的に摂取し、エナメル質の強化を図ることもおすすめです。
また、唾液の分泌を促すこともホワイトスポット予防に役立ちます。唾液には、口腔内の酸性度を下げる効果があり、エナメル質の再石灰化を助ける作用があります。ガムを噛む、よく噛んで食べるといった方法で唾液の分泌を促すことで、脱灰のリスクを抑えることができます。
最後に、定期的な歯科検診で早期発見と予防的なケアを受けることも大切です。歯科衛生士によるクリーニングやフッ素塗布は、日常のケアでは取り切れない汚れやプラークを除去し、エナメル質の健康維持に役立ちます。また、ホワイトスポットの兆候が見られる場合は、フッ素やミネラル補給のトリートメントなどで早めに対応することで、進行を防ぐことが可能です。
これらの習慣を取り入れることで、ホワイトスポットができにくい環境を作ることができます。
子どもの歯にできる白い斑点(ホワイトスポット)
子どものホワイトスポット(歯の白い点)の原因
子どもの乳歯に見られる白い斑点(ホワイトスポット)には、いくつかの原因が考えられます。その多くは病気ではなく自然な変化であることもありますが、放置しておくと将来的に問題を引き起こすケースもあるため、注意が必要です。以下に、子どもの歯にできる白い斑点の主な原因を解説します。
①初期むし歯(脱灰)
最もよくある原因の一つが「初期むし歯」です。これは、歯の表面のエナメル質が酸によって溶け始めた状態で、まだ穴があいていない段階のむし歯です。この段階では歯が白く濁ったように見えることがあり、「白斑」と呼ばれることもあります。
②エナメル質形成不全
歯の表面のエナメル質がうまく作られなかったことによって、白や黄白色の斑点ができることがあります。これは、妊娠中や乳児期の栄養状態、発熱や薬の影響などで歯の形成が一時的に障害を受けることで起こります。
③フッ素の過剰摂取(フッ素症)
フッ素は歯を強くする働きがありますが、過剰に摂取すると「フッ素症」と呼ばれる状態になり、歯に白い斑点が現れることがあります。特に、フッ素入りの歯みがき粉を過剰に摂取すると、リスクが高まる可能性があります。
④外傷や感染
乳歯の根元に衝撃を受けたり、歯の成長期に感染症にかかったりした場合も、後から生える歯に白い点が現れることがあります。これはエナメル質の発育に影響が出たことが原因です。
⑤栄養バランスの偏り
カルシウムやビタミンDの不足など、栄養の偏りによって歯の質が弱くなり、白い斑点が見られることがあります。
➅歯垢の蓄積や着色
実際には白い斑点ではなく、歯垢や歯石、食べ物の残りによる着色が白っぽく見えることもあります。しっかりとした歯みがき習慣で改善されることが多いです。 白い斑点の原因は多岐にわたりますが、いずれも早めに発見し、適切に対処することが将来の歯の健康を守るポイントとなります。
生えたばかりの歯が白くなりやすい理由
生えたばかりの新しい永久歯に白い斑点ができやすいのには理由があります。永久歯に限らず乳歯もそうなのですが、生えて間がない歯は、歯の結晶構造を形作る石灰化が進んでいません。このため、歯そのものがやわらかく、虫歯菌が作り出した酸に溶かされやすいのです。生えてから時間が経つにつれて、石灰化が進みますので、歯はどんどん強くなり次第に虫歯にもなりにくくなってきます。
白斑ができやすい時期
歯は生えてから2〜3年以内は、虫歯になりやすい時期なので、白い点(ホワイトスポット)もできやすいです。
子どもの歯にできる白い斑点の対処法
子どもの歯に白い斑点が見つかった場合、原因に応じた適切な対応が必要です。以下に、自宅でできるケアから歯科医院での治療まで、具体的な対処法を解説します。
①初期むし歯の場合の対応
初期のむし歯なら、フッ素入りの歯磨き粉を使って正しくブラッシングすることで、歯の再石灰化を促し、むし歯の進行を防ぐことが期待できます。歯医者では、定期的にフッ素を塗る処置が行われます。
②エナメル質形成不全の対応
エナメル質形成不全は、程度によって対応が異なります。軽度であれば経過観察となることもありますが、目立つ場合やむし歯のリスクが高い場合には、レジン(歯科用プラスチック)で補修するなどの処置が必要になることもあります。
③フッ素症の場合の対応
フッ素症で見られる白い斑点は、通常健康への重大な影響はほとんどありません。しかし、見た目が気になる場合は、表面研磨やレジン修復で目立たなくする方法が選択されることもあります。
④外傷や感染によるものの場合
歯の打撲や病気の影響で白い斑点ができた場合も、状況に応じて治療方針が変わります。必要に応じて歯の修復や経過観察を行うため、早めの歯科受診が推奨されます。
⑤家庭でのケア
いずれの原因であっても、自宅での歯磨きが不十分だと症状が悪化することがあります。保護者が仕上げ磨きを行い、歯医者で正しいブラッシング方法を指導してもらうことが大切です。
⑥歯医者の定期検診
白い斑点はそのまま放置せず、定期検診を受けることで、進行の有無やむし歯との関係をチェックできます。目視だけでは判断できないことも多いため、歯科医師による診察を受けることが重要です。 白い斑点を見つけたからといって過度に心配する必要はありませんが、原因に応じた適切な対応をとることが、将来の歯の健康を守る大きなステップになります。
子どもの歯にできる白い斑点(ホワイトスポット)の予防方法
子どもの歯に白い斑点ができるのを予防するには、日々の習慣と環境作りが重要です。乳歯は永久歯に比べて柔らかくデリケートなため、わずかなきっかけで変化が起こることがあります。以下に、子どもの白い斑点を防ぐために意識すべきポイントを解説します。
①正しい歯磨き(ブラッシング)
歯磨きがしっかりできているかどうかを確認します。専用の染色液で磨き残し部分を染め出すこともあります。磨き残しのあるところを見ていただき、歯ブラシに加え、歯間ブラシやデンタルフロスの使い方、選び方も説明します。ご本人だけでは難しい場合、保護者の方にも仕上げ磨きの方法を解説します。最も基本的で重要なのが、日々の歯磨き習慣です。小さなお子さんの場合、自分だけで正しく磨くことは難しいため、必ず保護者による仕上げ磨きを習慣にしましょう。特に寝る前の歯磨きは、むし歯予防にとって非常に重要です。
おすすめの歯磨き粉
1450ppmという高濃度タイプが虫歯予防に効果が高くおすすめなのですが、6歳未満の方には使えないので、6歳未満の方は950ppmのタイプをご使用ください。
➁フッ素の適切な使用
フッ素は、虫歯予防にとても効果的です。白い白斑のようなごく初期の虫歯に対しては、溶かされて荒くなった部分が元に戻る再石灰化を進める効果もあります。歯科医院では、フッ素塗布という歯に直接フッ素を塗る処置を行なっています。フッ素の利用法は、フッ素入り歯磨き剤やフッ素入り洗口液という方法もありますが、白い白斑に最も効果があるのはフッ素塗布です。フッ素を歯に塗ると、再石灰化の過程でフッ素が効果的に歯の構造に取り込まれるからです。フッ素は歯を強くするために有効な成分ですが、使い方を誤るとフッ素症の原因になることもあります。フッ素入りの歯磨き粉は、年齢に応じた量を守って使用し、うがいの仕方もきちんと教えることが大切です。定期的に歯医者でのフッ素塗布を受けることも予防に役立ちます。
➂食生活の見直し
甘いものをたくさん食べる、ダラダラ食べる、間食の回数が多いなど、食生活に問題が認められる場合は、食生活の見直しもします。甘いものをたくさん食べると虫歯になりやすいのはご存知と思いますが、”ダラダラ食べ”や、”間食の回数”も虫歯に強く関係しているからです。歯の成長にはカルシウムやビタミンD、タンパク質などが欠かせません。食事が偏っていると、歯のエナメル質の形成が不十分になり、白い斑点ができる原因になることがあります。日々の食事において栄養バランスを意識し、甘いおやつの与えすぎにも注意しましょう。
④乳歯のケアにも気を配る
乳歯は「いずれ抜けるから」と軽視されがちですが、永久歯の健康にも大きな影響を与えることがあります。白い斑点が現れやすい時期でもあるため、乳歯だからといって油断せず、大切にケアする習慣を身につけましょう。
⑤歯医者での定期チェック
白い斑点は自宅でのケアだけでは完全に防ぎきれないこともあります。歯医者で定期検診を受けることで、予防のポイントを学んだり、問題が早期に発見できたりします。保護者自身が歯科受診の大切さを理解し、定期検診の習慣を作ってあげましょう。 予防には特別なことよりも、日々の小さな積み重ねが大切です。正しい知識を持つことで、子どもの歯をより良い状態で守ることができるでしょう。
初期の虫歯によるもの
特徴
- 通常、白い斑点は歯肉付近や歯の表面に見られます。
- この段階では痛みはほとんど感じられませんが、放置すると進行する可能性があります。
原因
虫歯はその段階によってCO〜C4に分けられます。分け方は、虫歯が及んでいる範囲です。初期の虫歯はCO。虫歯と言っても色は白く、歯に穴は空いていません。
分類 虫歯が及んでいる範囲 CO このままだと虫歯になる(歯に穴が空く) C1 エナメル質 C2 象牙質 C3 神経 C4 歯が崩壊し根っこのみ残っている 生えてきたばかりの永久歯についた白い斑点の正体、それは、虫歯です。
実は、虫歯になったときに現れる最初の症状が、この白い斑点です。
虫歯の進行具合は、軽症からCO、C1、C2、C3、C4に分けられます。
白い斑点は、CO(caries observation)に当たる段階です。
C1以降は色が黒く、歯科医院での治療が必要になります。
C1は虫歯がエナメル質まで及んでいる状態
↓さらに進むと・・・
C2は虫歯が象牙質にまで及んでいる状態
↓さらに進むと・・・
C3は虫歯が神経にまで及んでいる状態
↓さらに進むと・・・
C4は虫歯により歯が崩壊し、根っこ部分だけが残っている状態
対処法
初期の虫歯・COの段階で気づければ、自分で治すことができます。歯磨きをしっかり行なったり、歯を強くする成分(フッ素など)が入った歯磨き粉を使うと効果的です。現在市販されているものでは、ほとんどの歯磨き粉にフッ素が含まれています。
- 正しい歯磨きとフッ素塗布で再石灰化を促進することで改善することが多いです。
- 進行した場合は詰め物治療が必要になる場合があります。
エナメル質形成不全によるもの
エナメル質形成不全とは
歯の形成期に,この部位の外傷や感染,全身的な栄養障害,フッ化物過剰摂取などがあると,萌出後の歯にエメナル質欠損がみられる。これをエナメル質形成不全という。
遺伝的要因も、歯に白い点や線が現れる原因となることがあります。特にエナメル質の形成不全は、歯のエナメル質が正常に発達しないために白い斑点や線が生じることがあります。このような状態は先天的なものであり、子供の食生活や環境によって影響を受けない場合があります。エナメル質形成不全が疑われる場合は、専門的な診断と治療が必要です。
特徴
白い斑点や線状の模様が歯の表面に見られることが多いです。一部では黄色や茶色に変色し、歯が脆くなることもあります。
原因
エナメル質は、歯全体を覆うことで、外の刺激から守ってくれています。このエナメル質が、完全に出来上がらないまま生えてきたのがエナメル質形成不全です。これにより歯の表面が白く見えることがあります。
このような歯が生えてくる原因は遺伝や妊娠中の母親の栄養不足・服薬、早産などさまざま。子供の歯をぶつけたり、子供の歯が大きな虫歯になったりすると、その後に生えてくる大人の歯がエナメル質形成不全になることもあります。
- 出生前または幼児期における栄養不足
- 高熱を伴う感染症(例:はしか、風疹など)
- 妊娠中や乳幼児期の母体の健康問題
- 遺伝的要因
対処法
エナメル質形成不全は歯を守ってくれるエナメル質が弱いので、虫歯になりやすいです。そのため歯科医院でクリーニングを受けたり、フッ素を塗ってもらったりなど定期的に診てもらうことが必要です。まずは歯科医院で相談してみましょう。
エナメル質が欠けたり崩れたりした場合は治療が必要です。まずは虫歯を治すときと同様、プラスチックの材料を使います。時期がきたら被せ物をするなど本格的な治療に入っていきます。
フッ素の過剰摂取によるもの
歯にとって良いフッ素ですが、何事もやりすぎは厳禁です。
特徴
- 軽度の場合は白い線や斑点が歯に現れます。
- 重度の場合は、歯が黄褐色や茶色に変色し、表面が粗くなることもあります。
原因
歯を強くしたり、虫歯を予防してくれる「フッ素」。しかし量を守らないと、歯に白色の斑点が出たり、もっとひどいものでは歯に小さな凹凸ができたりします。この凹凸に食べ物や飲み物の色がつくと、茶色の斑点となります。
主に永久歯が形成される時期に過度なフッ素が体内に取り込まれることで発生します。フルオロシスは、軽度の場合は見た目に少しの白い斑点が現れるだけですが、重度になると歯全体が白っぽくなり、表面がざらつくこともあります。
対処法
適切なフッ素使用量の管理が重要です。歯磨き粉の量やフッ素サプリメントの使用に注意することが推奨されます。
- フッ素の摂取量を管理することが重要です。
- 審美的な治療として、ホワイトニングやラミネートべニアの適用が検討される場合があります。
遺伝的要因や発育の個人差
原因
遺伝的な体質や個人の発育速度の違いにより、歯の形成や色にばらつきが生じることがあります。
特徴
- 特に健康上の問題がなくても、白い斑点が見られることがあります。
- 時間の経過とともに目立たなくなる場合もあります。
対処法
必要に応じて歯科健診で状態を確認しますが、基本的には特別な治療を要しません。
歯の外傷による変化
原因
転倒や衝撃などで歯が外傷を受けた場合、歯のエナメル質にダメージが生じ、白い斑点や線が見られることがあります。
特徴
- 前歯に特に多く見られます。
- 時間とともに変色する場合もあります。
対処法
歯の損傷が軽度の場合は経過観察、場合によっては充填治療が行われます。
予防のポイント
- 健全な食生活や適度なフッ素摂取が、歯の健康を守る鍵です。
- 小児歯科での定期的な相談を通じて、問題が大きくなる前に適切な対処を行いましょう。
子供の歯に白い点や線が現れる原因として、初期の虫歯、エナメル質形成不全、フッ素の過剰摂取などが挙げられます。それぞれ適切なケアや治療を受けることで、症状の進行を防ぎ、健康な歯を保つことが可能です。
親御さんによる日々の歯磨きサポートや、バランスの取れた食事、適切なフッ素使用、そして定期的な歯科健診を通じて、子供の歯をしっかり守りましょう。早期発見と対応が、将来の健康な歯につながります。
白い斑点の変色
生えたばかりの永久歯に現れた白い斑点は、ずっと同じ白さとは限りません。
時間の経過にともなって、白色から褐色に変色することがあります。
これは、虫歯が進行したからではありません。
この変色は、脱灰されて荒れた部分に、着色物質などが沈着することによって生じたものです。
穴になっていなければ、慌てる必要はありません。
白い斑点のその後
白い斑点のところは虫歯の初期段階なので、そのまま進むと歯に穴があき、一般的にイメージされる虫歯になります。








